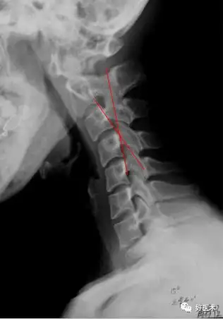
这是一个14岁湖北女孩莉莉的颈椎片子,我们看到她的颈椎几乎是一根直

高清图片下载 免费 安全无风险
这是一个14岁湖北女孩莉莉的颈椎片子,我们看到她的颈椎几乎是一根直

这是一个14岁湖北女孩莉莉的颈椎片子,我们看到她的颈椎几乎是一根直

点击图片查看原图

图片信息

  • 格式: JPG
  • 尺寸: 640x960
  • 大小: 约1.2MB

版权声明

相关标签

自然风光 高清壁纸 4K画质

分享图片

相关推荐

基于当前图片的相似推荐

脊柱解剖与手法实战课程———颈椎实战篇

经过拍片检查,盈盈的颈椎第一,二,三椎向前错位.

5岁女孩脖子疼痛,一查发现颈椎被"吃掉"一节,出现这些症状快就医

颈胸交界处刺痛,竟是颈椎错位惹的祸?(附动图)

颈椎多发小关节错位,建议摄张口位片子(观察寰枢椎)

颈肩背酸胀痛加重伴左手指麻木半年1例

妈妈拍的颈椎的片子,懂的瞅瞅

软组织损伤影像学异常改变及针刀治疗的临床意义

寰椎的位置和其与其它颈椎的位置没有明显的错位征.

颈椎病解剖,经典影像改变,看这一篇就够了!

27颈椎x线诊断》拾遗

随机推荐

发现更多精彩图片

哈哈大笑,嘿嘿笑死了动漫卡通动态微信表情图

一见钟情的绝美宝贝眼神会放电的仙女鞠婧祎诱惑超清手机壁纸

办公装饰学生学习 精雕3d凹凸立体直观展示中国地理,地貌,地形 地图

细品杭州各区名字的由来

《搞笑一家人》可爱的又没用的三父子08 《三父子之歌》 三父子!

哪吒和杨显真是越看越般配,两人天真无邪,奈何杨显却是只妖!

工藤新一的高清手机壁纸,把生命放在第一位的侦探!

央视白岩松跑步十年每周五天信奉越自律越自由

64g经典聊斋86版古装神话悬疑电视剧全集mp4高清视频优盘存储u盘电脑

50幅国画虾美极了栩栩如生

田英章硬笔书法--最常用的100个汉字