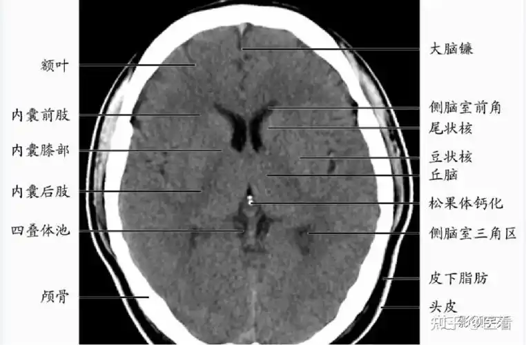
基底节区:概念不清. 可能包括:基底节,黑质,红核,及其周围白质区域.

高清图片下载 免费 安全无风险
基底节区:概念不清. 可能包括:基底节,黑质,红核,及其周围白质区域.

基底节区:概念不清. 可能包括:基底节,黑质,红核,及其周围白质区域.

点击图片查看原图

图片信息

  • 格式: JPG
  • 尺寸: 640x506
  • 大小: 约1.2MB

版权声明

相关标签

自然风光 高清壁纸 4K画质

分享图片

相关推荐

基于当前图片的相似推荐

基底节区病变ppt课件ppt

基底节区解剖位置关系图ppt模板

双侧基底节区对称性病变

基底核与基底节区解剖与定位

神经外科基础培训 基底节血管走形分布—冠位

基底核与基底节区解剖与定位

图 :左侧白圈内与右侧红圈内为基底节区三, 脑部病变时的临床综合征1.

高血压性脑出血的临床表现

基底节区及脑桥的血液供应

"基底节区"的准确定义是什么?求助!

随机推荐

发现更多精彩图片

青花瓷盘景德镇青花瓷纪念盘挂盘摆盘

夜光nitesunb198户外战术手电筒评测

悟空的超级赛亚人境界 - 堆糖,美图壁纸兴趣社区

魅蓝note促销899元 可获得优惠券100元

60-70-80年代北京市中药厂时期,同仁堂时期李时珍162 - 抖音

太阳岛上简谱歌词郑绪岚演唱暖儿制谱

曾火爆一时的鸿茅药酒经历跨省抓捕医生后彻底变成了过街老鼠

alyxlyx白色一字肩连衣裙女高级感轻奢生日小礼裙气质抹胸长裙子

留学生10年花500万,毕业回国进国企,月薪7000|出国留学|美国留学_网易

com 中国风 古典 古风 可爱 唯美 手绘 泪痕 男孩 紫色 芝麻花 鹿

我的马克笔色卡分享148色富莱卡勒法卡勒