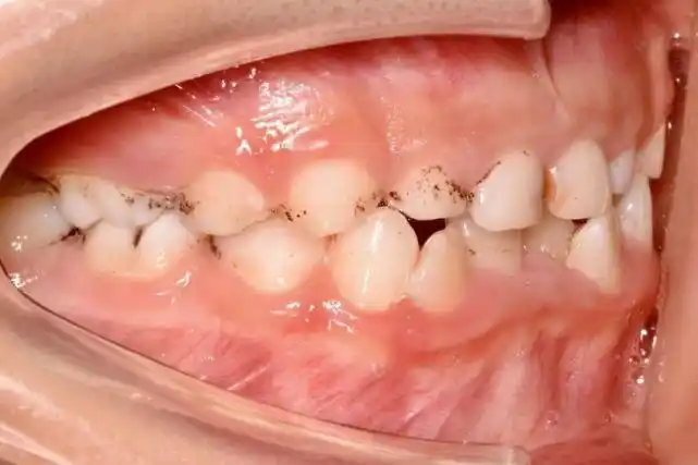
假期里的"双排牙"小朋友

高清图片下载 免费 安全无风险
假期里的"双排牙"小朋友

假期里的"双排牙"小朋友

点击图片查看原图

图片信息

  • 格式: JPG
  • 尺寸: 640x465
  • 大小: 约1.2MB

版权声明

相关标签

自然风光 高清壁纸 4K画质

分享图片

相关推荐

基于当前图片的相似推荐

孩子这么小为什么牙齿就开始变黄变黑是什么造成的

保护小孩子的牙齿,大人的责任很大

发现小朋友牙齿里面有 - 抖音

六岁小孩子牙齿长成这样怎么弄啊,有没有遇到这种的家长有经验呀!

3岁小朋友牙齿有个洞,想看看是不是虫牙,北京补个牙去哪个公立儿童

海口市明日之星幼儿园 大班健康教育系列活动————《我的牙齿更

这个小朋友的牙齿白白的,她的牙齿保护的很好哦!

小朋友牙齿上的黑色素能去掉吗?

老师告诉我们,每个小朋友都有20牙齿.

小朋友牙齿上的黑色素能去掉吗

小朋友这个牙齿要拔吗请帮忙看看

孩子牙齿健康从选择合适儿童牙刷开始

随机推荐

发现更多精彩图片

《快乐街区》廖亦洋 11岁(指导教师:王小燕)

香奈儿手表及珠宝总裁frédéric grangie更新@jennierubyjane相关ins

女生海边背影头像唯美 高清漂亮女人看海的背影图片头像_女生头像

素材来源:王者荣耀 #壁纸 #马可波罗 - 抖音

亮剑:同样是守仓库,旧版成就经典,新版差距立显!

立邦乳胶漆色号分享小伙伴们参考

人体皮肤组织结构分哪几层皮肤分层结构图

猫和老鼠#画画 #儿童简笔画 - 抖音

急停按钮接线急停开关接线图