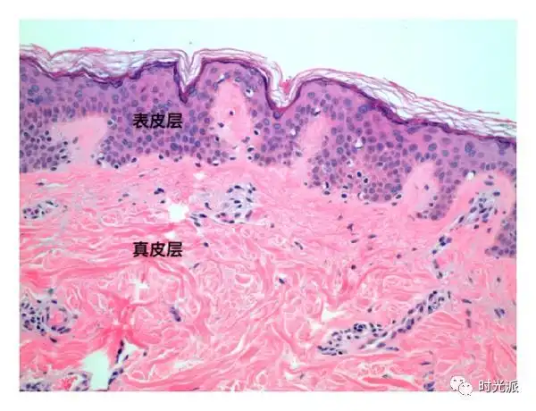
头发好不好主要还得看毛囊的健康程度

高清图片下载 免费 安全无风险
头发好不好主要还得看毛囊的健康程度

头发好不好主要还得看毛囊的健康程度

点击图片查看原图

图片信息

  • 格式: JPG
  • 尺寸: 593x335
  • 大小: 约1.2MB

版权声明

相关标签

自然风光 高清壁纸 4K画质

分享图片

相关推荐

基于当前图片的相似推荐

dermisa super plus 超级a 淡斑皂(第三代)(85gx6)

drdermis氨基酸洗面奶分享

78 ounce dermisa 德蜜萨 天然嫩白皙颜精华霜 50g-美国超市原价直邮

进口dermisa除螨皂控油祛痘除螨虫粉刺硫磺皂男女洁面皂洗脸肥皂

epidermis dermis hypodermis and muscle tissue. illustration

dermisa skin fade cream with antioxidant vitamin c | help

breast and buttocks enlargement medical care hyaluro

perma blend ash dermis 1/2oz

皮肤分三层:表皮层(epidermis),真皮层(dermis),皮下组织层

猫九爷带你深入了解犬猫的皮肤结构5

structure model permanent makeup human skin model for epidermis

美国 dermisa 保湿甘油棕榈油洁面皂 温和不刺激锁水保湿洗脸肥皂

随机推荐

发现更多精彩图片

那些你很冒险的梦简谱-林俊杰演唱-王雅君/林俊杰词曲1

法国印象派女画家贝尔特莫里索人物油画作品欣赏

小熊免抠素材med手写素材

祝你生日快乐简谱-祝你生日快乐简谱,祝你生日快乐,简谱 - 早旭阅读

游戏相册_飚车专区_新浪游戏_新浪网

同时需要付出一个赞达拉徽章的代价,而徽章可以藉由摧毁宝石和上交祖

安踏 篮球系列 男子缓震回弹篮球鞋-11831101-安踏官方商城

《扬民族文化,展民族艺术》之环创篇

小红书中进行下载应用的简单操作方法

十番队 队长:日番谷冬狮郎 日文:ひつがや とうしろう 副队长:松本

实拍世界各地在街头乞讨的孩子 图一

dreamvalley##bjd##bjd交易##人形##早春活动