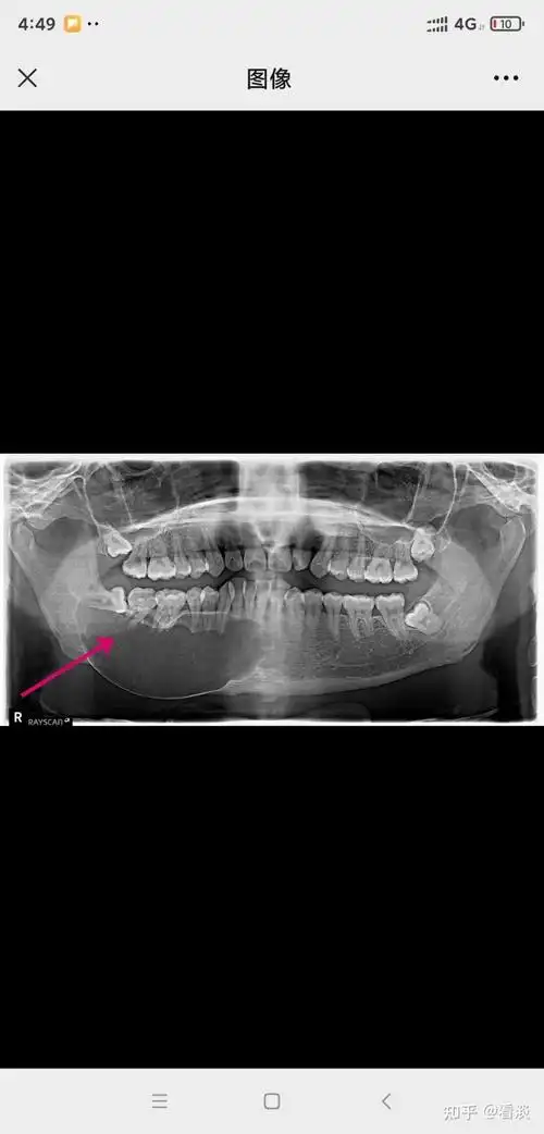
cbct提示右下颌的囊肿

高清图片下载 免费 安全无风险
cbct提示右下颌的囊肿

cbct提示右下颌的囊肿

点击图片查看原图

图片信息

  • 格式: JPG
  • 尺寸: 640x366
  • 大小: 约1.2MB

版权声明

相关标签

自然风光 高清壁纸 4K画质

分享图片

相关推荐

基于当前图片的相似推荐

【囊肿手术案例】大型颌骨角化囊肿开窗减压联合囊肿塞治疗

57岁,牙痛拍片发现左下颌骨囊肿1月 患者1月前牙痛就诊, - 抖音

4岁孩子下巴正下方起了个包,有点硬,不碰就不会

【原创病例展示】:阻生牙拔除 下颌骨囊肿摘除

【病例讨论】右下颌肿块3年,诊断未明

细菌感冒第二天下巴下面长了一个瘤,一夜起来就这样

下巴原来有个小小的肿块最近特然变大很明显我买了板蓝根和

下颌骨植入性囊肿一例_医学资讯_大夫e站

【囊肿手术案例】大型颌骨角化囊肿开窗减压联合囊肿塞治疗

随机推荐

发现更多精彩图片

ps公益海报设计教程合成保护海洋动物公益海报

斗鱼直播 _ 哔哩哔哩相簿

励志太阳花文字文字控壁纸

阳光最好的超帅的帅哥头像现实的,帅的不要不要的

弹丸论破苗木困插画图片

额头有天柱纹的女人命运

踢脚线用什么材质好

卷纸简笔画,画一卷卫生纸#简笔画#儿童画

北京-天坛公园 手绘地图

话剧《大宅门》全明星阵容国庆中秋佳节齐聚国话剧场

骏马头像 分享给爱马,喜马,属马之人 学习热情奔放,勇敢自信,勇往直前

绘制了以下情绪波动曲线图,我们可以从图中提炼出的观点有(单选题|较