血小板何故如此低血涂片下见真章

高清图片下载 免费 安全无风险
血小板何故如此低血涂片下见真章

血小板何故如此低血涂片下见真章

点击图片查看原图

图片信息

  • 格式: JPG
  • 尺寸: 1080x719
  • 大小: 约1.2MB

版权声明

相关标签

自然风光 高清壁纸 4K画质

分享图片

相关推荐

基于当前图片的相似推荐

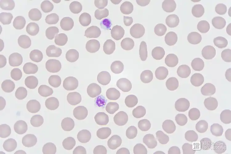
后来,在女性患者外周血涂片中发现有巨大血小板和中性粒细胞包涵体

血液肿瘤血小板聚集巨大血小板在血液涂片照片

血小板何故如此低血涂片下见真章

满片尽是巨大血小板怎么破

正常颗粒的血小板和大血小板

原发性血小板增高症的中医治疗一例

形态学报告中血小板应该如何描述 ?

原发免疫性血小板减少症(itp),以往称特发性血小板减少性紫癜,是一种

涨姿势!放大4000倍的血细胞,终于看到自己的血小板是什么样子的了

血小板异常的分析 - 知乎

记一例edta导致的血小板卫星现象

红色血液中的红色血小板

随机推荐

发现更多精彩图片

手绘卡通转身离开的双马尾女孩背影矢量图宫装女孩背影深红古风cg漫画

钟汉良身着黑色t恤贴玻璃的样子真的很可爱,散发着青春气息!

希臘神話素材花臂#纹身手稿 #花臂#广州纹身 @dou 小助 - 抖音

全勇国画山水乡村老屋

金榜(民间唢呐曲) 歌谱简谱网

撒野吉他谱_凯瑟喵-1

global warming全球变暖对动物的影响ppt

维将信息.#精灵梦叶罗丽 #国产动漫推荐 - 抖音

儿童舞蹈傣族舞《贝叶飘香》民族舞音乐背景视频画面

江西师范大学附属泰和杏岭实验中学在泰和中学正式挂牌