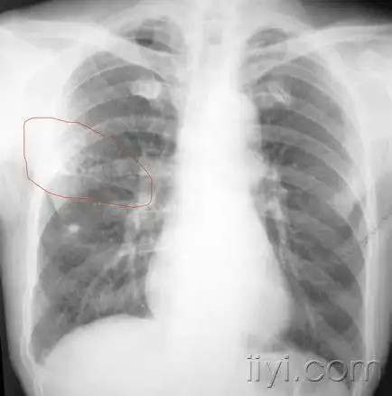
少见病例病史资料全蜂窝肺高手来帮着诊断一下

高清图片下载 免费 安全无风险
少见病例病史资料全蜂窝肺高手来帮着诊断一下

少见病例病史资料全蜂窝肺高手来帮着诊断一下

点击图片查看原图

图片信息

  • 格式: JPG
  • 尺寸: 2571x1562
  • 大小: 约1.2MB

版权声明

相关标签

自然风光 高清壁纸 4K画质

分享图片

相关推荐

基于当前图片的相似推荐

【病例讨论】蜂窝肺改变-迁延3个月,抗生素应用仍不见好转

【讨论】左肺蜂窝状改变84289【随访反馈】

少见病例,病史资料全,蜂窝肺,高手来帮着诊断一下.

蜂窝肺的定义与探讨

【病例讨论】蜂窝肺改变-迁延3个月,抗生素应用仍不见好转

【影像读片】对于蜂窝肺的认识,您看看都是什么病,都有哪些征象

蜂窝肺的定义与探讨

小伙肺烂成马蜂窝 蜂窝肺怎么形成的 蜂窝肺能治好吗 肺坏成马蜂窝是

蜂窝肺的定义与探讨

一文总结蜂窝肺你了解多少│临床必备

随机推荐

发现更多精彩图片

你看到他的照片时,一定会惊喜地发现:原来这就是那个我们熟悉的朱亚文

世界十大奢侈女包品牌

出一只白色小鹦鹉5个月小母白色很少见手养

图案黑白动感方格视频素材创意方格黑白扭曲方格背景图片动感方格背景

郑州美食攻略:小v家火锅鸡.很有特色的火锅鸡,酱香味十足! - 抖音

2022年中国少年先锋队江苏省南通市小海小学举行第四届代表大会

教你怎么用kktv k40 康佳智能电视接话筒

《我懂个p》——超级干货:史上最全文字云制作攻略!

孤立在白色背景上的鹿头

左边一把剑右边一条蛇是什么车的标志

大连水云涧温泉水上乐园