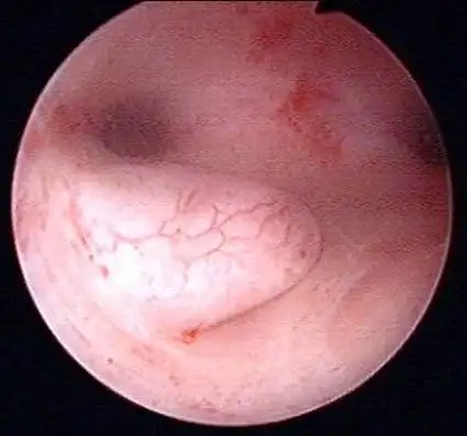
宫颈炎

高清图片下载 免费 安全无风险
宫颈炎

宫颈炎

点击图片查看原图

图片信息

  • 格式: JPG
  • 尺寸: 400x418
  • 大小: 约1.2MB

版权声明

相关标签

自然风光 高清壁纸 4K画质

分享图片

相关推荐

基于当前图片的相似推荐

宫颈息肉不可怕,牢记四点不手术消除它!_手机搜狐网

子宫内膜息肉很容易复发吗

宫颈息肉摘除术比较简单,碘伏消毒阴道,宫颈后,用止血钳夹住息肉蒂

子宫内膜息肉怎么治疗_子宫内膜息肉_症状_预防_治疗方法_症状表现

子宫内膜息肉_疾病介绍_介绍 - 好大夫在线

子宫内膜息肉_子宫内膜息肉检查

【镜·界】宫腔镜下子宫内膜息肉的诊断与治疗规范

随机推荐

发现更多精彩图片

章子怡是大光明和黑长直的代言人.

现在市面上最常见的电脑主板,具体有哪些类别?(2019最新分类)_老客外

北京城市副中心地名体系规划编制完成 362个名称公示

有没有穿jk制服的小姐姐的壁纸呀? - 知乎

法拉利california内饰改装案例速度与激情的红鬃烈马

特别值得一提的是,银基黄帝宫御温泉首创古典古韵的加汤环节,身着古代

健身房商用三头肌训练器 坐姿三头肌下压家用健身器材肩部训练器

清代,青花釉里红寿桃纹倒流壶

邵阳隆回白马山,宝庆第一峰看云海!