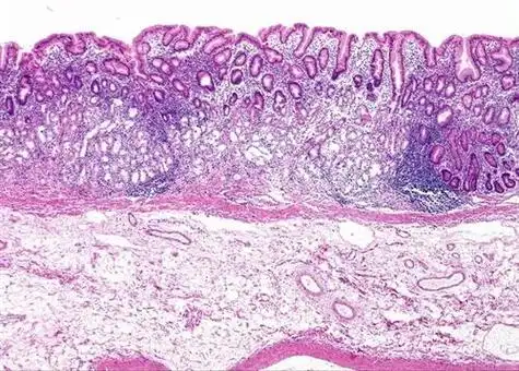
文献选读关于萎缩性胃炎的组织病理学问题

高清图片下载 免费 安全无风险
文献选读关于萎缩性胃炎的组织病理学问题

文献选读关于萎缩性胃炎的组织病理学问题

点击图片查看原图

图片信息

  • 格式: JPG
  • 尺寸: 989x642
  • 大小: 约1.2MB

版权声明

相关标签

自然风光 高清壁纸 4K画质

分享图片

相关推荐

基于当前图片的相似推荐

慢性萎缩性胃炎光镜

胃窦萎缩性胃炎讨论2017.09.30【91360消化病理沙龙病例讨论332】

萎缩性胃炎分型(图2)

浅表糜烂性胃炎,病理检查:(胃窦黏膜)灶性肠化,确诊为慢性萎缩性胃炎

慢性萎缩性胃炎_介绍_发病原因_治疗方式 - 好大夫在线

你一定要知道萎缩性胃炎有什么症状?胃镜下显示会有什么不同?

萎缩性胃炎:病因和危险因素

慢性萎缩性胃炎显微切片图片

慢性萎缩性胃炎显微切片图片

随机推荐

发现更多精彩图片

菜鸟宣布骨干网数字化加速计划 携手快递业再造500亿新价值

分界线侧背油头发型发型

63岁的张丰毅 娇妻霍凡今年39岁

by c030404 | hpoi手办维基

235首唐诗宋词中最美的思乡名句,送给在外漂泊的游子们

北三家村五年级"毒烟酒,我远离"线上主题班会

巨人族的新娘漫画-第35话 忧虑在线阅读-久久漫画网

丘比特,丘比特-黑色 & 白色插画, 矢量

78美食插画78早餐系 | 馄饨简笔画教程78 恬花花简笔画小课堂第

路人超能100 | 龙套 | 影山茂夫 | 灵幻新隆 | 搞笑头像 | 小酒窝