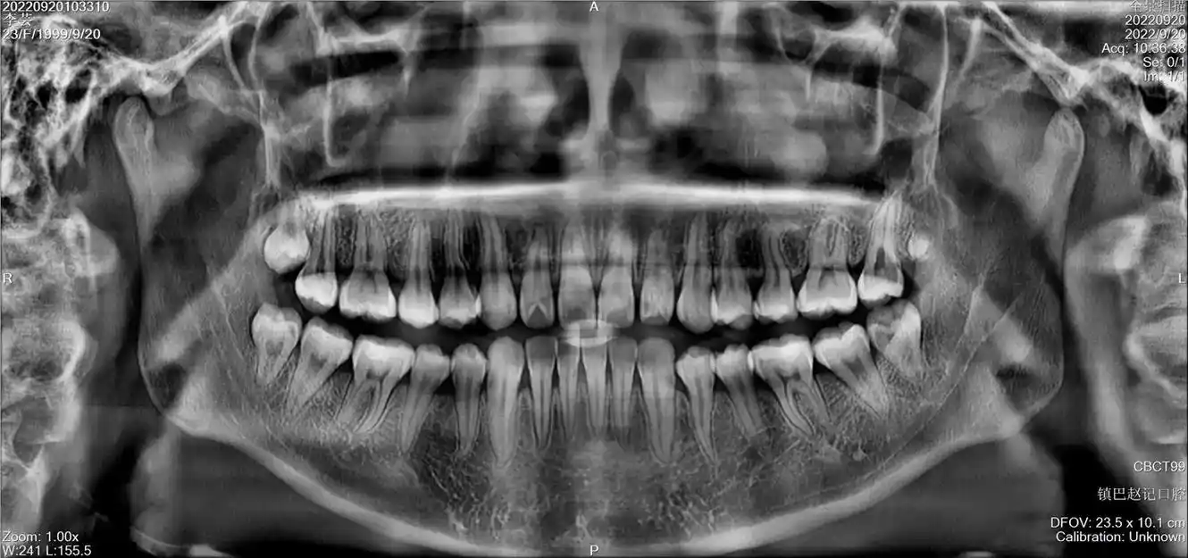
口腔全景片(曲面断层片)是口腔科检查中十分重要的常规检查手段,主要

高清图片下载 免费 安全无风险
口腔全景片(曲面断层片)是口腔科检查中十分重要的常规检查手段,主要

口腔全景片(曲面断层片)是口腔科检查中十分重要的常规检查手段,主要

点击图片查看原图

图片信息

  • 格式: JPG
  • 尺寸: 502x490
  • 大小: 约1.2MB

版权声明

相关标签

自然风光 高清壁纸 4K画质

分享图片

相关推荐

基于当前图片的相似推荐

刘汾61精品课正畸需要了解的影像知识

伯爵cbct影像篇③口腔全景片认知

口腔ct这样看,你学会了吗?#武大口腔李颖杰 #牙齿矫正 # - 抖音

口腔全景片提供的是二维影像,所以它的分辨率不如ct高,而且只能提供一

伯爵cbct影像篇③口腔全景片认知

正畸一年口腔ct对比图

医用x射线胶片观片灯看x光阅片骨科读片灯箱牙科单双联ct片灯23713

认识口腔全景片解剖

四川大学华西医院龙泉医院超大视野口腔ct投入使用

牙齿写真集#牙医日常 #口腔ct图片 - 抖音

进口口腔颌面锥束ct投入使用

随机推荐

发现更多精彩图片

钟楚曦与外籍男友亲密照遭曝光,俊男美女很般配!

夜晚坐着抽烟的男子

group photo 8大创意拍摄技巧!新年就这样拍!

许佳慧《预谋》吉他谱g调吉他弹唱谱

38床, 腰1椎体压缩性骨折

"墙都不服就服你",小学生课本涂鸦走红,网友:秀儿是你吗?

新秀 复方氨酚烷胺片12片/盒四肢酸痛 发热头痛 鼻塞 咽痛 12片*1盒

郑州方特一日游,哪些比较好玩