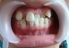
小自由大幸福:24岁了,下面有几颗牙齿不齐很难看,还能做矫正吗?

高清图片下载 免费 安全无风险
小自由大幸福:24岁了,下面有几颗牙齿不齐很难看,还能做矫正吗?

小自由大幸福:24岁了,下面有几颗牙齿不齐很难看,还能做矫正吗?

点击图片查看原图

图片信息

  • 格式: JPG
  • 尺寸: 720x1280
  • 大小: 约1.2MB

版权声明

相关标签

自然风光 高清壁纸 4K画质

分享图片

相关推荐

基于当前图片的相似推荐

牙齿不整齐矫正病例(图)

【求助】牙齿排列严重凌乱,年27,想整牙,附图求教.

顾客牙齿拥挤,牙列不齐

首页 牙齿矫正 牙齿不齐 2017年6月29日, 深圳爱康健口腔医院患者

什么事牙齿咬合不齐

成年人牙齿不齐的危害

牙齿不齐不仅会影响到口腔功能,而且还会严重影响到外在的形象,因此

30岁牙齿重度拥挤,牙列不齐,嘴巴前凸.拔3颗4号_圈子-新氧美容整形

牙不齐(倾斜,拥挤)是怎样的体验?

孩子牙齿不齐,抓住这个矫正黄金期

随机推荐

发现更多精彩图片

2021带来好运的微信头像

原创火影猿飞一族的通灵兽是猴子那阿斯玛会不会

在一个食双星系统里,两颗恒星围绕它们的公共质量中心转动.

s925银吊坠扣男女项链卡扣瓜子扣头翡翠玉器银扣配件扣子水晶夹扣

这可能是颜值最高的手机了华为p20pro极光色开箱图赏

可以这很哟西表情包素材斗图聊天图片表情

头像是阚清子纪凌尘照片你喜欢大海我爱过你

cos正片#魔道祖师 少年魏无羡

市供销社组织到鲁中监狱开展警示教育活动

种丹妮《生逢灿烂的日子》小薇剧照图片

10-1 光的干涉ppt_word文档在线阅读与下载_免费文档