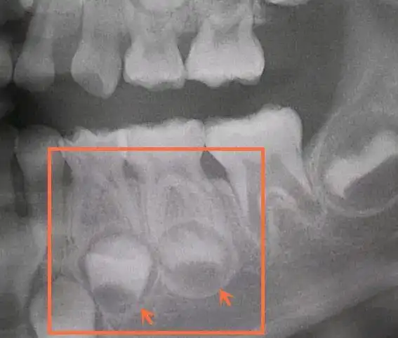
中澳牙医对一个乳牙治疗方法的差异

高清图片下载 免费 安全无风险
中澳牙医对一个乳牙治疗方法的差异

中澳牙医对一个乳牙治疗方法的差异

点击图片查看原图

图片信息

  • 格式: JPG
  • 尺寸: 1674x1020
  • 大小: 约1.2MB

版权声明

相关标签

自然风光 高清壁纸 4K画质

分享图片

相关推荐

基于当前图片的相似推荐

6岁左右少儿的乳牙和恒牙的x光图,前面一排是乳牙,乳牙后面的是还没长

乳牙有哪些重要作用

儿童乳牙治疗|牙片分析6015 图1: 左上门牙有龋坏,需要补牙.

通过照x光片发现宝宝没有恒牙,导致乳牙到期不脱落

用x光照射七岁男孩的牙齿

(术后四个月x光片)预防颌骨囊肿家长需注意王静静医生介绍说,颌骨囊肿

六岁的女儿竟然少两个恒牙,乳牙时期左边是有左侧切牙的,可是右边没有

但是我还有上面的乳牙还没掉 突出来很难看 如果拔掉上面的乳牙恒牙

在颌骨中正常发育的恒牙,有一圈"外壳"根尖炎症反复刺激,导致恒牙"

给尚未长出牙齿的婴儿拍的牙科x光照片…&hellip

怎么孩子长出来的恒牙看起来比乳牙黄呢?

随机推荐

发现更多精彩图片

又简单的初代奥特曼简笔画

7个特利迦奥特曼,你最喜欢哪一个?_哔哩哔哩_bilibili

2007,八一换新装的三军仪仗队海军士兵.

厂家批发泰国五条经文莲花龙婆招财龟聚宝盆泽度金泰国佛牌金属贴

以案说法持有证据拒不提供要承担什么法律后果

手工制作(100/11)|扭扭棒小花花

【现场直击】中国传媒大学汉语国际教育硕士2019复试现场直击

医用一次性氧气湿化瓶 鼻氧管流量计吸入器 中心供氧设备带配件

好看又稀有的闺蜜头像