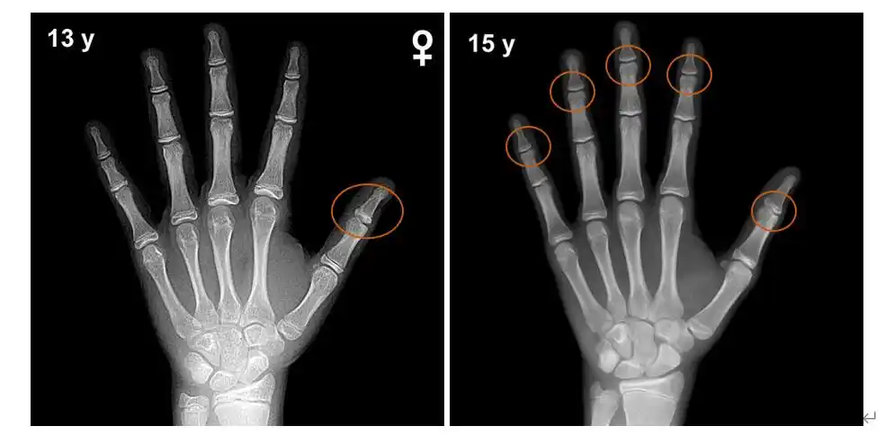
通常要拍摄人左手腕部的x光片,医生通过x光片观察左手掌指骨,腕骨及桡

高清图片下载 免费 安全无风险
通常要拍摄人左手腕部的x光片,医生通过x光片观察左手掌指骨,腕骨及桡

通常要拍摄人左手腕部的x光片,医生通过x光片观察左手掌指骨,腕骨及桡

点击图片查看原图

图片信息

  • 格式: JPG
  • 尺寸: 640x771
  • 大小: 约1.2MB

版权声明

相关标签

自然风光 高清壁纸 4K画质

分享图片

相关推荐

基于当前图片的相似推荐

哪些医院可以测骨龄,测骨龄去什么医院好

经过反复探索以及实验验证,科学界一致将手腕骨作为评价骨龄的最佳

儿童长不高好担忧骨龄比真实年龄更重要医骨龄评估关键6时期

收藏必备丨骨龄图谱

均未达到9岁,可以预见,身体其它部位(如四肢长骨)的骨骺同样发育迟缓

正常3岁女性儿童骨骺已出现,桡骨远端骨骺已出现10)女孩3岁9)女孩2岁6

收藏必备丨骨龄图谱

骨龄发现的象牙98骨骺-手腕关节x线 食指94骨骺出现 象牙状高密度

骨龄鉴定,孩子是"小矮子",打生长激素还是等等看?

随机推荐

发现更多精彩图片

纹理短发,锁骨发14款,蓬松又时尚,让你美到心痒痒|发型|发尾|碎发|发

白发变黑发的简单秘方,坚持吃这个一个月,白发不见了!

最小的时候都是吃的这种,那时候谁有零花钱买一包几个小伙伴一起纷排

3万元_汽车新闻】-易车网_淄博金悦江淮

公共汽车给老人让座位公交车上没人给老人让座位2022已更新今日更新

敏捷启蒙科学育儿冬季送孩子入园断断续续这样做的6大危害不容忽视

木玩世家 大块木制积木玩具大地进口儿童宝宝原色原木木制玩具

替你们试过了~好用,地奈德涂了三次都说有激素,不建议涂,我听 - 抖音

湖南长沙招做渗沟下管工人八个人

中国 091型"汉"级 攻击核潜艇